
Nasazený plný fixní aparát v horní a dolní čelisti

Nasazený estetický fixní aparát v horní čelisti

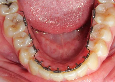
Nasazený fixní lingvální aparát v dolní čelisti

Nasazený fixní funkční aparátek

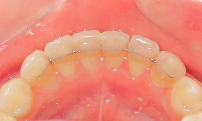
Ukázka fixního ortodontického retaineru (dlahy) v dolní čelisti, používaného na stabilizaci zubů po ortodontické léčbě

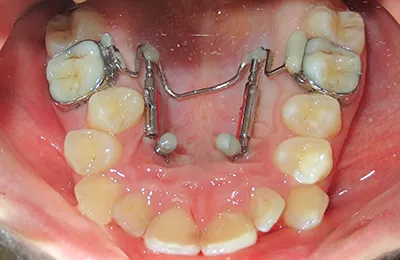
Ukázka použití ortodontického miniimplantátu a elastického tahu na posun zubů

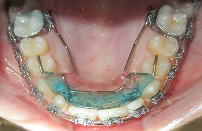
Ukázka distalizačního aparátku - posun stoliček směrem dozadu

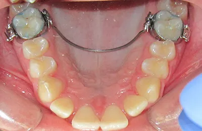
Patrový třmen

Nákusný třmen na zvýšení skusu

Ukázka snímacího aparátku

Obličejová maska

Obličejová maska

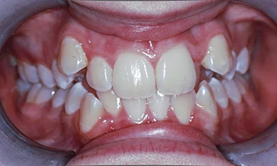
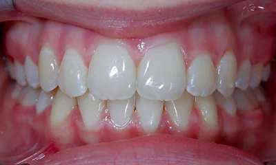
Léčba stěsnání - před léčbou

Po léčbě

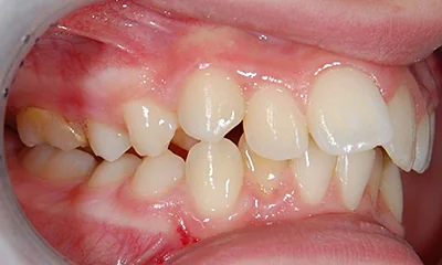
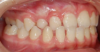
Léčba závažného stěsnání - před léčbou

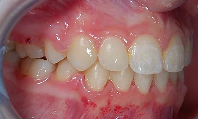
Po léčbě

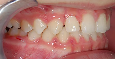
Léčba zákusu a zkříženého skusu - před léčbou

Po léčbě

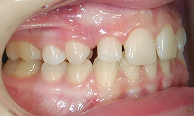
Léčba retinovaného špičáku (zub neprořezal a je uložen v kosti) - před léčbou

Po léčbě